桃園市中壢區慈惠三街126巷1號
T:03 425 9955
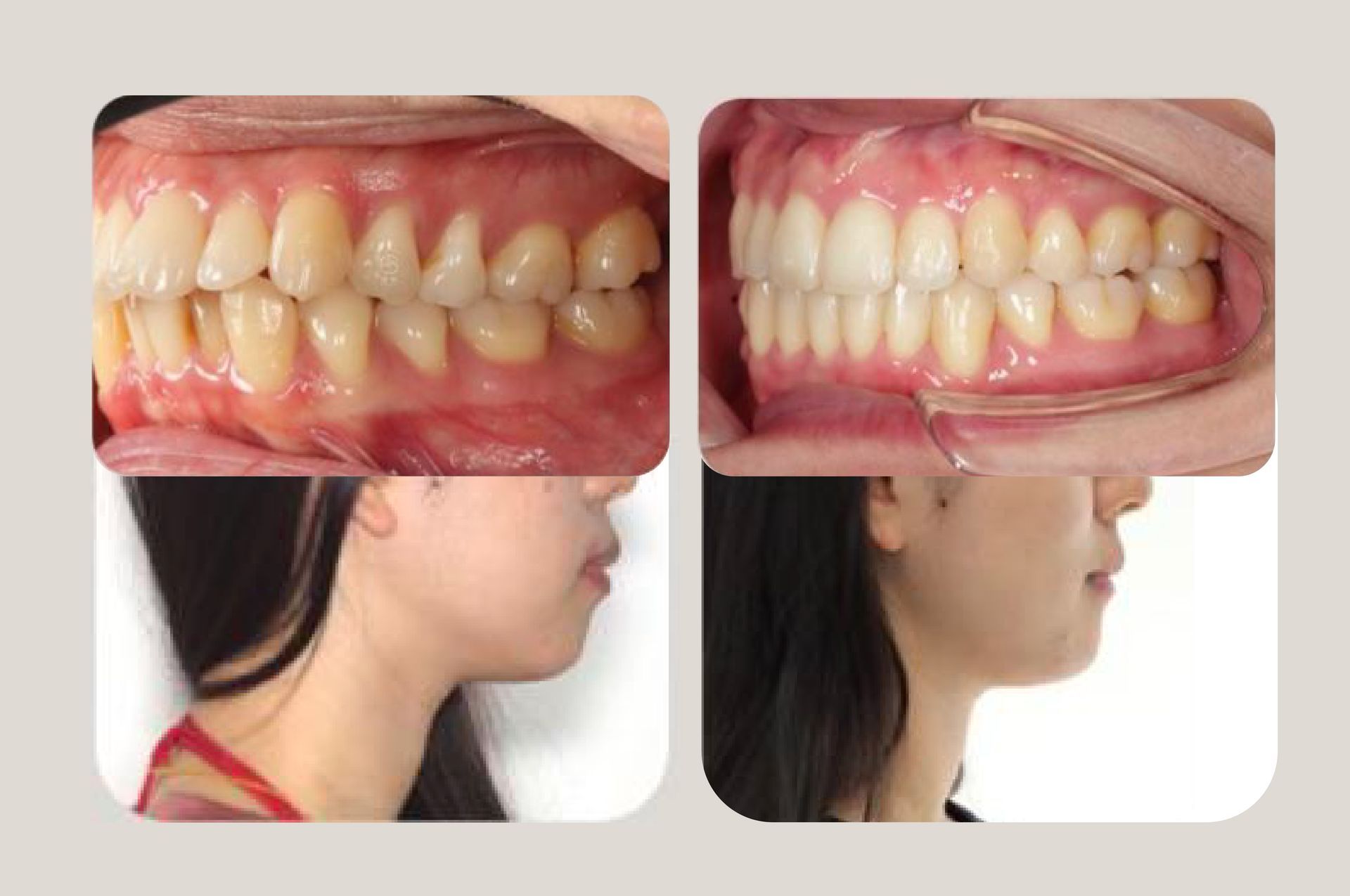
見證分享|案例分享
豐煦牙醫診所|中壢
T: 03 425 9955
晴璞牙醫診所|青埔
桃園市中壢區高鐵站前東路一段101號
T: 03 287 5057
© 2024 豐煦牙醫診所與晴璞牙醫診所 All rights reserved.