門牙斷裂美學樹脂仿生補牙
單顆假牙|全瓷美學
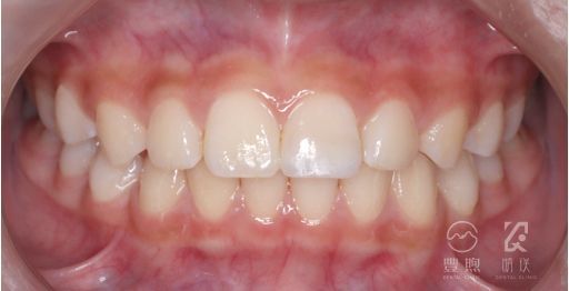
小朋友在學校玩耍不慎敲到門牙
小朋友在學校玩耍,但不慎敲到門牙,導致牙齒斷裂,但斷裂那塊牙齒碎片找不到,藉由鄰近兒童牙科轉診到豐煦牙醫診所評估後續如何處理。
經臨床及X光片檢查下,確認牙齒傷害程度,我們先用臨時填補物將缺損部位包覆起來,然後再另行約診好好處理這斷裂牙齒。
這位孩童才十歲,如果現在做假牙,由於牙齒以及骨頭會繼續移動以及生長,未來可能會需要再換一次假牙,因此我們決定採取美學樹脂仿生補牙。在牙齒充分隔濕下,我們得以將一層一層的樹脂根據不同區域的位置來進行填補,把一顆失去外型的牙齒,恢復美觀以及功能。






